• Object ID: 00000018WIA30E12970GYZ
  • Topic ID: id_40025651 Version: 1.3
  • Date: May 26, 2022 2:02:08 AM

MSDE

MSDE (Motion Sensitized Driven Equilibrium) is a spin echo-based diffusion weighted imaging option played out once per shot to suppress flow in the volume. It ends with a tip-up pulse to return the magnetization to the longitudinal axis (driven equilibrium). MSDE is compatible with Cube.

Use the MSDE Imaging Option for the following:

  • Blood flow suppression to see the vessel wall.
  • T1 contrast for segmentation of plaque necrotic core, fibrous cap and hemorrhage.
  • Fat suppression to distinguish plaque from fat.
Figure 1. Carotid vessel wall image comparison
Table 1. Image legend
RowsLeft columnMiddle columnRight column
1 = 3DTOF

2 = Cube

3 = Cube with MSDE (Vessel T1)

Right CCA bifurcation Sagittal reformatLeft CCA bifurcation

Sagittal reformat

CCA bifurcation

Axial reformat

Consider the comparison of MP-RAGE and Cube with MSDE for T1-weighted acquisitions.

Table 2. MSDE with Cube compared to MP-RAGE for T1-weighted images
PSDAdvantageDisadvantage
MP-RAGE
  • High T1 contrast
  • T1 dependent blood suppression
  • Longer scan time
  • Difficult to adjust T1 and waiting time
  • Incompatible with contrast agents
3D Cube with MSDE
  • Short scan time
  • Higher SNR
  • Flow dependent blood suppression
  • Lower T1 contrast

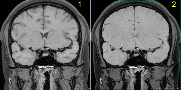
Consider not using MSDE in locally restricted B0 inhomogeneous regions (for example nasal cavity) due to signal suppression.

Figure 2. Images of in locally restricted B0 inhomogeneous regions
Table 3. Image legend
NumberDescription
1MSDE Off and Fast Recovery On.
2MSDE On and Fast Recovery Off. Note the signal loss.

Imaging Options

  • Scan time can be reduced with HyperSense.
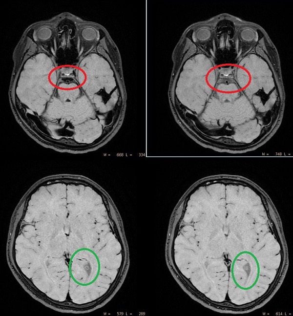
  • Fast Recovery controls CSF signal. De-select Fast recovery to increase signal from CSF.
    Figure 3. Images with Fast Recovery on and off
    Table 4. Image legend
    NumberDescription
    1Cube with MSDE and Fast Recovery OnCV22 = 3, CV29 = 1
    2Cube with MSDE and Fast Recovery Off

    CV22= 3, CV29= 1

    By turning off Fast Recovery, contrast between vessel wall and vessel lumen became high. On the other hand, contrast between white matter, gray matter and CSF became low.

SAT pulses

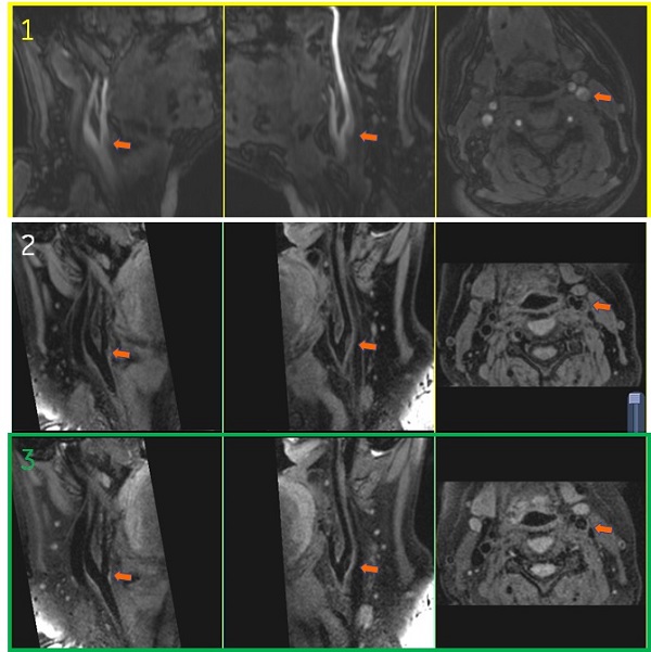
Fat Saturation is recommended to reduce fat signal related artifact (for example, ringing artifact or motion artifact).

Figure 4. Cube and MSDE with and without fat saturation
Table 5. Image legend
NumberDescription
1Cube and MSDE without fat saturation. Note the ringing artifact from surface fat.
2Cube and MSDE with fat saturation. Ringing artifact is eliminated.

MSDE tab

Figure 5. MSDE tab

There are two selections from the MSDE tab:

  • Velocity Suppress Target (VEST)
    • Range is from 2-10 cm/s.
    • It is inversely proportional to the gradient strength.
    • A lower value is optimum for slow blood flow suppression with the tradeoff of lower SNR and suppressed CSF. Typically, use 2cm/s for brain and carotid scans. To avoid CSF flow suppression, a faster value should be selected.
      Figure 6. VEST image comparison
      Table 6. Vest image comparison
      Left imagesRight images
      VEST=2cm/s

      MSDE Direction=ALL

      VEST=10cm/s

      MSDE Direction=SI

      Pros (+) of low VEST: Slow blood flow suppression (green)

      Cons (-) of low VEST: CSF is suppressed if it flows (red)

  • MSDE Directions
    • R/L, A/P, S/I, ALL
    • Select the value in the direction that matches most of the flow. If most of the vessels are randomly distributed, select ALL.

Advanced User CV tab and Fast Recovery Imaging Option

  • CV22 Cube Enhance
    • Select 3 when acquiring brain T1-weighted images.
  • CV29 SAR optimization
    • The MSDE RF pulse increases SAR. Select CV29 = 1 to reduce TR.

MSDE Annotation

  • It appears on the image in the lower left corner.
    Figure 7. MSDE Imaging Option
  • It is on the Series Text page.
    Figure 8. Series text page
  • The MSDE Direction appear in the upper left corner
    Figure 9. Example of: VS and MSDE direction
  • The Velocity Suppress Target (VS) value is written to DICOM.
    Figure 10. Phase contrast DICOM tags used for MSDE