- 00000018WIA30BE1970GYZ
- id_400255991.1
- Jan 9, 2022 12:06:34 PM
Classic
Use the Classic Imaging Option to reduce the contribution of off-resonant signals to spin-echo images by exploiting the chemical shift artifact in the slice selection direction.

Classic:
- slightly decreases SNR
- produce images with a lower signal from fat in anatomy, such as orbits or extremities
- enhance the effectiveness of fat chemical saturation techniques with Spin Echo acquisitions
- is not a substitute for chemical saturation
- produces lower signal intensities from a wide range of frequencies. If you want to see many shades of gray, do not use Classic
- look for a larger variance between muscle and fat signals. Its effects can be emphasized via center-frequency adjustment
- is sensitive to the center-frequency selection
- centering on fat decreases water signal
- centering on water decreases fat signal
- centering on the midpoint decreases both fat and water signal
- potentially decreases bright signal artifacts that fold back into the surface coil spine and pelvis images with FRFSE or FSE pulse sequences
- reduce annefact with FSE-XL sagittal spine scans acquired with an FOV up to 28 cm
Classic with DW-EPI scans
- When HyperBand Imaging Option is selected, Classic is automatically selected and cannot be turned off (the button is grayed out).
- When SPECIAL or Fat are selected from the Chem SAT menu located on the Scan Parameter screen, or IR Prepared is selected from the Imaging Options screen, consider selecting Classic to improve fat suppression. Classic Imaging Option cannot be used together with Enhanced Fat Suppression User CV. Enhanced Fat Suppression User CV is another way to get robust fat suppression. It should provide more robust fat suppression compared to Classic. However, it cannot be used for thin slice thickness.
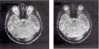
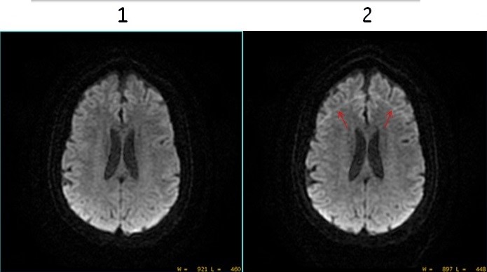
Figure 2. Classic turned on and off 
Table 1. Image legend Number Description 1 DWI image with Classic Imaging Option selected (turned On). Note the improved image quality. 2 DWI image with Classic Imaging Option not selected (turned Off). Note the ghosting artifact due to incomplete fat suppression.
