- 00000018WIA30232970GYZ
- id_400254071.3
- Mar 2, 2022 5:16:00 PM
Tailored RF
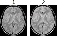
TailoredRF is used to stabilize the echo amplitudes in the FSE sequences (Spin Echo and Inversion Recovery). Tailored RF produces images with the following characteristics: less blurring, slightly less SNR, flatter contrast for T2s, and slightly more slices per TR.

| Number | Description |
|---|---|
| 1 | Tailored RF On |
| 2 | Tailored RF Off |
By varying the flip angle of the first two refocusing pulses and keeping the remaining refocusing pulses the same, the echo amplitudes can be made fairly constant. The result is a reduction of blurring in the image.

| Number | Description |
|---|---|
| 1 | 90° |
| 2 | 174° |
| 3 | 158° |
| 4 | 160° |
Use the Tailored RF Imaging Option with FSE scans using short TEs, T1-weighted and/or PD-weighted imaging and for off center FOVs (e.g., shoulders).
- Always select Tailored RF if the Blurring Cancellation is on.
- You can also use Tailored RF with a larger bandwidth (20 to 41 kHz) to increase the slices per acquisition at the expense of flattened T2 image contrast.
- Because the flip angles are less than 180°, the contrast for an FSE scan acquired with Tailored RF pulses may be slightly different than an FSE scan acquired without Tailored RF.
- For details about Tailored RF with SSFSE, see SSFSE considerations.
