- 00000018WIA309D7870GYZ
- id_400237281.4
- Aug 18, 2022 12:57:31 PM
ASSET
ASSET allows faster scanning when using ASSET compatible coils. Use ASSET:
- for artifact reduction,
- to decrease artifacts with EPI sequences.
- to decrease blurring with FSE family (particularly SSFSE and DWI) sequences.
- for abdomen and chest imaging where a loss of SNR is not a consideration.
Figure 1. Abdomen without ASSET (left) and with ASSET (right) 
- with fMRI. When the EPI fMRI sequence uses ASSET the echo-train of the EPI readout is reduced leading to reduced image distortion during fMRI exams. A further benefit is that slice coverage may increase within a given TR.
- for breath hold angiography studies where a loss of SNR is not a consideration. ASSET is available with TRICKS to enhance the temporal resolution by doubling it. Since there is no multi-breath hold calibration, be sure to match the breath hold (inhale versus exhale) between the calibration scan and accelerated scans to avoid misregistration artifacts.
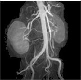
Figure 2. MRA renals with ASSET 
Details
ASSET is designed to achieve shorter acquisitions. When an ASSET acceleration of two is specified, the one-half reduction in scan time is due to every other line in k-space being skipped, while keeping the total area covered in k-space the same. When an ASSET acceleration of three is specified, the two-thirds reduction in scan time is due to every third line in k-space being filled, while keeping the total area covered in k-space the same.
ASSET requires a calibration scan prior to the image acquisition. This calibration scan is required for the system to account for the phase wrapped or aliased anatomy that occurs within each coil in the phased array set. The aliasing occurs in an ASSET scan because the ASSET acquisition is, in effect, regularly under-sampled in the phase FOV direction.
The calibration scan must cover the same anatomy as the ASSET scan and should not contain any phase-wrapped anatomy. Ensure that each axial slice calibration image of the patient wholly contains all patient anatomy within that axial plane. If more than one calibration is done, the data is used from the most recent calibration scan.
When comparing two images acquired with and without the ASSET option, the ASSET image has a 50% reduction in scan time and the resulting SNR is the multiple of the square root of one-half times the SNR of the non-ASSET image. In examinations with high signal, such as a CEMRA exam, the SNR effects are rarely noticed. The actual SNR is dependent on the appropriateness of the coil to the particular use of ASSET.
