• Object ID: 00000018WIA309A1970GYZ
  • Topic ID: id_40022761 Version: 1.6
  • Date: Aug 17, 2022 6:18:44 PM

Silent: acquire a PROPELLER scan

Before you begin

This topic applies to the PROPELLER Silent Neuro Package and Silent Suite PROPELLER (Quiet).

T2, T2 FLAIR PROPELLER, T1, T1 FLAIR PROPELLER, and PROPELLER for extremities applications have been re-designed to substantially reduce acoustic noise.

Scans acquired with the Silent Neuro Package make less acoustic noise than in regular operation mode. This may help patients who are sensitive to loud noises in being comfortable during an MR scan. Since the scans use PROPELLER technology, they tend to be motion robust.

About this task

The patient is positioned for a head exam or an extremity scan and a scan session is open on a system that has the Silent Package.

Step-by-step instructions

  1. From the Workflow Manager, click Add Task > Add Sequence.
  2. From the Protocol screen, click the Head Tab and select an Axial T2 protocol from the GE Library Head category.
    • GE provides recommended protocols optimized for clinical scanning for both T2, T2 FLAIR PROPELLER, DWI PROPELLER, and PROPELLER for extremities (knee, ankle and shoulder) applications as part of the Silent Package.
    • The GE extremity protocols scan parameters are very sensitive to change and are designed to produce T2 and PD contrast-weighted images. Modifying the protocol's scan parameters may result in poor image quality. If you desire to lower the TE to acquire Proton Density-weighted contrast, increase the FOV and slice thickness, decrease the matrix value and update the Bandwidth. These changes can result in a lower TE for Proton Density-weighted contrast.
    • For details about PROPELLER DWI, see DWI PROPELLER scan considerations.
    • Provide hearing protection for the patient. Although the PSDs included in the PROPELLER Silent Neuro Package and Silent Suite PROPELLER (Quiet) are very quiet, hearing protection is still required. Any other prescribed scans, including prescan and non-Silent Neuro Package sequences, may have acoustic levels exceeding 99 dB(A).
  3. From the Workflow Manager, select the Axial T2 series and click Setup.
  4. Click Imaging Options.
  5. From the Imaging Options screen, click More.
  6. Select the PSD parameters:
    • 2D Mode, Fast Spin Echo family, PROPELLER pulse, Acoustic Reduction Imaging Option.
    • Click Accept.
  7. From the ART tab, make a selection to turn on Quiet: Moderate or High. For more details, see Acoustic Reduction Technology.
  8. Adjust other scan parameters as needed.
    • For optimum scan time and performance, the axial or oblique axial plane is recommended. Sagittal and coronal scan planes are compatible, but may result in longer scan times.
    • It is recommended to not select PURE as a prospective filter since it increases the acoustic noise of the calibration scan and increases the scan time. If desired, add PURE as a post-acquisition filter from ClariView.
    • Compared to standard T2 and T2 FLAIR PROPELLER applications, images acquired with the Silent Neuro Package may result in reduced SNR and longer scan time. It is recommended to use a post-processing Filter Setting (for example, A, B, C, etc.) to compensate for the potential reduction in SNR.
    • The recommend bandwidth is 25 to 42 kHz to achieve minimum echo spacing, which helps to reduce blurring.
    • The recommend ETL value is 16 to 20 to achieve similar contrast to standard applications. Note that the GE PROPELLER Brain T2 and T2 FLAIR protocols are optimized for clinical scanning.
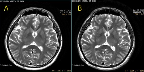
      Figure 1. PROPELLER image comparison
      Table 1. Image legend
      NumberDescription
      ATraditional PROPELLER image.
      BPROPELLER image acquired with the Silent Scan package.
    • Select User CVs as needed.
  9. Graphically prescribe the PROPELLER scan locations.
  10. If desired, see Add post-process task.
  11. When the prescription is finished, click Save Rx > Scan.