- 00000018WIA303B1970GYZ
- id_400252091.5
- Aug 28, 2022 3:44:59 PM
FSE T1 Optimization
Use FSE T1 Optimization to optimize the T1 contrast in brain and spine images acquired with 2D FSE T1 pulse sequences.


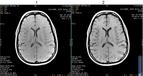
| Number | Description |
|---|---|
| 1 | FSE T1-weighted image |
| 2 | FSE T1-weighted image with FSE T1 Optimization |
The User CV applies a +90° RF pulse at the end of the echo train that results in a darker signal from fluids thus improving T1 contrast when compared to a conventional FSE sequence. In addition, the scan time may be decreased when compared to a SE T1 sequence.

- Select a recommended TR of 700 ms for both brain and spine scans on 1.5T MR systems.
- Acquire two acquisitions to reduce magnetization transfer effects that occur with FSE T1 Optimization.
- If the scan time is too long, either reduce the number of slices to one acquisition or acquire two acquisitions.
- Superior and Inferior saturation bands are recommended to avoid flow artifacts in the brain.
- The last 180° and +90° RF pulse combination sets the Mz magnetization such that it becomes similar to an inversion prepared sequence.
| Warning | |
|---|---|
