- 00000018WIA309E0970GYZ
- id_400236231.2
- Mar 17, 2022 1:29:28 PM
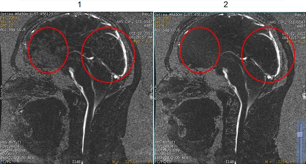
SPGR Mode
Use the SPGR Mode User CV with Phase Contrast and Cine mode to improve background suppression.
There are two SPGR Mode options:
- 0 = Off
- 1 = On

| Number | Description |
|---|---|
| 1 | Phase Contrast images acquired with Cine PC and SPGR Mode User CV set to 0, or Off. |
| 2 | Phase Contrast images acquired with Cine PC and SPGR Mode User CV set to 1, or On. Note the improved suppression of background tissue. |
