- 00000018WIA30D8C770GYZ
- id_400219621.4
- Aug 29, 2022 1:49:53 PM
Turbo Mode
Turbo Mode reduces the RF pulse width, which shortens the TR. The shortened TR improves CNR (better suppression of background and venous signal to contrast enhanced arteries).
- Turbo Mode is typically used with contrast-enhanced MRA exams.
- Turbo RF pulse profile reduces aliasing in the slice direction and, with the employment of higher flip angles, it allows for shorter TRs. A shorter TR results in a shorter scan time that can be traded for more coverage or increased spatial resolution.
- The shortened TR reduces the tissue contrast. Therefore, if the goal is to see both tissue contrast and vessels, Turbo Mode is not the best choice.
- The minimum TR increases as slice thickness decreases, and flip angle, bandwidth, and matrix increase.
- Turbo Mode is compatible with ASSET.
- When choosing between Turbo modes, consider the interdependency of many scan parameters that affect the number of locations, SNR, and CNR. Select the Turbo Mode that provides the optimum value for your applications.
- The table below lists the available modes and the changes in the RF time with each selection.
| Turbo Mode entry | Mode | RF duration |
|---|---|---|
| 0 | Off | 1.6 ms |
| 1 | Fast | 0.8 ms |
| 2 | Fastest | 0.6 ms |
Turbo Mode has two options:
- 0 = off for legacy images
- 1 = Faster, which is used to decrease TR
LAVA and VIBRANT considerations when setting Turbo value to 1
- TR is shorter with wide bore MR systems and thus may decrease SNR due to saturation effects.
- A larger value selected from the Acceleration tab may affect SNR. If the Imaging Option ARC is selected, the recommended Acceleration values are: 2 for Phase and 1-1.2 for Slice.
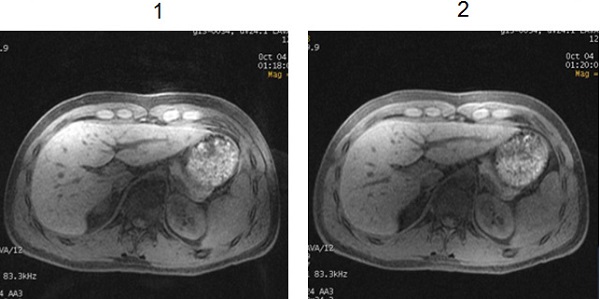
Figure 1. LAVA comparison with Turbo mode on/off 
Table 2. Image legend Number Description 1 LAVA image acquired with ARC, scan time 24 seconds. 2 LAVA image acquired with User CV Turbo mode = 1, scan time 15 seconds. - If SPECIAL is selected from the Chem SAT menu located on the Scan parameter screen, a partial Fourier technique in the phase and slice direction is used.
LAVA/VIBRANT FLEX considerations when setting Turbo value to 1
- Elliptic Centric ordering (CV12) and Turbo ARC (CV15) are not available when Turbo mode is set to 1.
