• Object ID: 00000018WIA3014E870GYZ
  • Topic ID: id_40024989 Version: 1.4
  • Date: Jun 23, 2022 7:48:14 PM

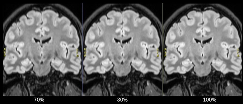
Slice Partial Fourier

Use the Slice Partial Fourier to shorten the scan acquisition time for 3D acquisitions.

The range is between 70-100%. The lower the percentage, the shorter the scan time with the tradeoff of a slight decrease in image resolution.

Figure 1. Slice Partial Fourier reformatted coronal images