- 00000018WIA30353970GYZ
- id_400257481.3
- Aug 28, 2022 3:47:04 PM
Gradient optimization for Diff All
Gradient Optimization for Diffusion All turns on Diffusion Gradopt All, which is selected from the Diffusion Direction menu located on the Diffusion tab.
Gradient Optimization for Diff All = 0 disables Diffusion Gradopt All Diffusion Direction resulting in an increased TE and thus reduced image quality.
Gradient Optimization for Diff All = 1 enables Diffusion Gradopt All Diffusion Direction resulting in decreased TE and a corresponding increased SNR in comparison to the standard All option. This is particularly important for abdominal images.

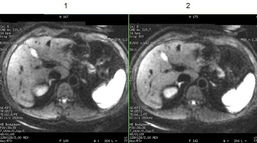
| Number | Description |
|---|---|
| 1 | Gradient Optimization for Diff All = 1 enables Diffusion Gradopt All Diffusion Direction. Note shortened TE = 62.8. |
| 2 | Gradient Optimization for Diff All = 0 disables Diffusion Gradopt All Diffusion Direction. Note the TE = 66.1. |
