• Object ID: 00000018WIA30044970GYZ
  • Topic ID: id_40025662 Version: 1.3
  • Date: Aug 28, 2022 2:25:11 PM

Chemical Shift Reduction

Use Chemical Shift Reduction to reduce the chemical shift ghosting near the fat/water interface with the following scan parameters:

  • Mode: 3D
  • Family: Gradient Echo
  • Pulse: Fast SPGR
  • Type-in field: 3dradial
  • Imaging Options: Turn off the following options:
    • Bright Blood
    • IR Prepared
    • Respiratory Gating
  • Scan Parameter screen > Chem SAT menu, select None
  • User CV Chemical Shift Reduction = On

There are two options:

  • 0 = OFF, which is the default
  • 1 = ON, select if chemical shift artifact is a concern
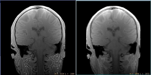
Figure 1. Example of Chemical Shift Reduction off and on with head scan
Table 1. Image legend
SideDescription
LeftChemical Shift Reduction turned off.
RightChemical Shift Reduction turned on.
Figure 2. Example of Chemical Shift Reduction off and on with extremity scan
Table 2. Image legend
NumberDescription
LeftChemical Shift Reduction turned off.
RightChemical Shift Reduction turned on. Note the reduced chemical shift artifact.

Considerations

  • For water dominant anatomies such as the brain, turning on Chemical Shift Reduction results in more blurriness.
  • For fat and water mixed anatomies such as the neck and extremities, turning on Chemical Shift Reduction can dramatically reduce the ghosting artifact.
  • Recommended for use with musculoskeletal scans and not for brain scans.