• Object ID: 00000018WIA30CA1970GYZ
  • Topic ID: id_40021647 Version: 1.3
  • Date: Mar 30, 2022 3:07:19 PM

AIR Recon

Use the AIR Recon User CV with Silent PROPELLER scans with the Imaging Option ART (Acoustic Reduction Technology) mode set to High. There are two AIR Recon options:

  • 0 = OFF
  • 1 = ON

Set the CV to OFF to have the lowest acoustic noise level. This results in no calibration scan acquired during Prescan and AIR™ Recon is turned off.

Set the CV to ON for improved image quality: better uniformity, reduced streaking artifact, darker background. This results in a calibration run in Prescan and AIR™ Recon is turned on. This calibration scan is much quieter than the regular calibration scan, but it is still louder than the Silent PROPELLER scan.

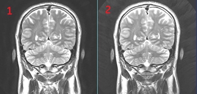
Figure 1. AIR Recon User CV on/off
Table 1. Image legend
NumberDescription
1AIR Recon turned ON. Note the improved image quality
2AIR Recon turned OFF.