- 00000018WIA30E0AF80GYZ
- id_20383391.2
- Apr 26, 2022 8:51:36 AM
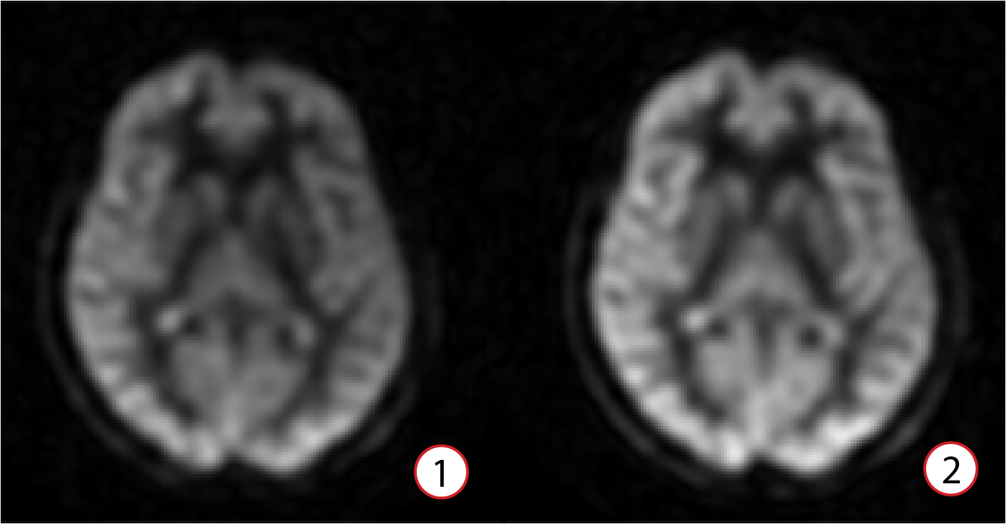
Flexible Labeling Mode and Labeling Duration
Use Flexible Labeling Mode (CV4) with Labeling Duration (CV5) to extend the amount of time that the system labels arterial blood.
You must use Flexible Labeling Mode with Labeling Duration.
Note: Flexible Labeling Mode with Labeling Duration affects CBF values. If consistent CBF scaling is relevant, such as a longitudinal study to compare CBF changes in a specific patient population, do not enable Flexible Labeling Mode with Labeling Duration.
To use these CVs, first populate 1.00 for CV4 to enable Flexible Labeling Mode. For CV5, populate the desired time in milliseconds. It is recommended to use a value between 1800 and 2000 ms. If you do not enable CV4, the labeling duration is 1450 ms.

| Number | Description |
|---|---|
| 1 | Flexible Labeling Mode disabled Label duration = 1450 ms |
| 2 | Flexible Labeling Mode enabled Label duration = 2000 ms |
