- 00000018WIA30240970GYZ
- id_400252661.4
- Mar 24, 2022 5:14:44 PM
COSMIC
About this task
COSMIC employs a fully-balanced, oscillatory-state, coherent-imaging pulse sequence with segmented multi-shot centric k-space acquisition technique. The center of k-space that contributes to image contrast is filled during the oscillatory state.
COSMIC images have improved disc, muscle, bony structure and grey/white matter contrast, and higher SNR in comparison to 3D FIESTA images given similar scan parameters for a C-spine scan. It also reduces distortion due to susceptibility or chemical shift in comparison to GRE and FIESTA pulse sequences.
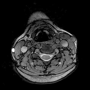
Use these steps to acquire 3D axial C-spine images. The k-space filling technique used with COSMIC improves the CNR and SNR of C-spine tissue, including the spinal cord, vertebral disks, nerve root canal, and contrast between CSF and nerve roots. 3D COSMIC images improve depiction of osteophytes and foraminal nerve roots. It produces a mixed T2, T2/T1 image contrast.

