MAGiC (MAGnetic resonance image Compilation) is a software option based on a combination of acquisition and post processing software that is intended for use on GE imaging platforms. MAGiC generates multiple image contrasts from a single acquisition scan. MAGiC enables post-acquisition image contrast adjustment. MAGiC also allows for the generation of parametric maps for further analysis of MRI acquisition data. MAGiC is indicated for head imaging.
When interpreted by a trained physician, MAGiC images can provide information useful in determining diagnosis.
About this task
Use these steps to acquire a MAGiC (2D multi-echo, multi-TI times) scan for the purpose of processing multiple contrast-weighted images from the single MAGiC acquisition.
Step-by-step instructions
Open a scan session.
Acquire a 3-Plane localizer.
From the Workflow Manager, click Add Task > Add Sequence.
From the Protocol screen, select a MAGiC protocol from your site or GE library.
At a minimum, include a localizer and a MAGiC series.
If you cannot locate a MAGiC protocol in either library, then from the Protocol screen:
From the GE protocol library, click the Template tab.
Click the Applications folder.
From the Applications list, click MAGiC and add it to the Multi-Protocol Basket.
Click Accept.
From the Workflow Manager, select the MAGiC series and click Setup.
Make scan parameter adjustments, as needed.
Recommended head protocol values include:
Frequency FOV = 24 cm
Phase FOV = 0.8
ASSET cannot be deselected. Recommended Acceleration = 2 (Phase)
ETL = 12
Slice thickness = 4 mm
Slice gap = It is recommended to use a 10% or greater slice gap to ensure high quality imaging
Minimum number of slices = 20
If any or all of these scan parameters are selected (ASSET, HyperBand, PURE), and if you select On from the Calibration in Prescan menu, which is located on the Details tab, a calibration scan is acquired during Auto Prescan.
Recommended values include:
Frequency = 320
Phase = 224
Bandwidth = 20.83 kHz
Click the Advanced tab and select User CV values, if needed.
Graphically deposit slices over the area of interest.
If desired, define the MAGiC post process parameters.
From the Workflow Manager, click Add Task > Add Post Processing.
From the Add Post Processing screen, click MAGiC.
Click Setup.
From the MAGiC post process screen, complete the following:
Figure 1. Example of a MAGiC post process selections screen
Click each tab for which you want to generate post process images and adjust the scan parameters as needed. The initial values are derived from the scan prescription. The tabs are determined by the layout defined in the MAGiC post process procedure > Preferences > Save Current Layout.
Select one of the options from the menu to choose an image type: FSE, FSE-IR or FSE-DIR. The TI2 setting is only available for FSE-DIR. The PSIR option is only available for FSE-IR and FSE-DIR. The name of the tab and initial part of the series description is generated automatically from the chosen settings.
Uncheck Enable to disable generation of the image series for the selected tab. A disabled tab is named --. The Enable checkbox is available on every tab.
Click Automatic to have the post process images automatically reconstructed.
Click Load Presets if you want to change the values for each tab to the values defined from the MAGiC post process procedure.
Click Accept.
When the prescription is finished, click Save Rx > Scan.
The MAGiC post-processed images can also be defined from the Session Applications list.
MAGiC image annotation = MAGiC/flip angle
Results
MAGiC combines an MDME (2Multi-Delay Multi-Echo) acquisition and a post-processing application. Based on the MAGiC MDME images, MAGiC post-processing generates parametric maps of the imaged tissue:
T1 relaxation times
T2 relaxation times
Proton Density
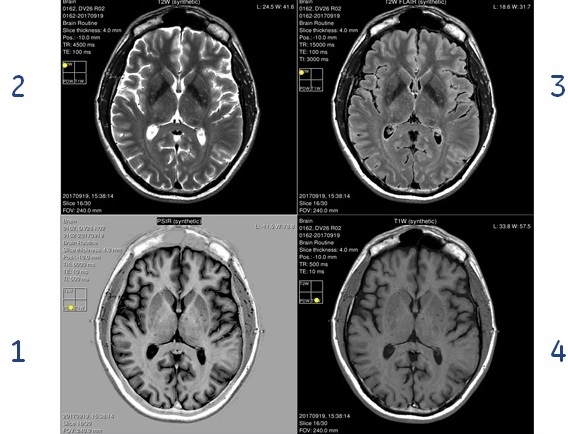
Using the T1, T2, and PD maps, contrast-weighted T1, T2, T1 FLAIR, T2 FLAIR, STIR, PSIR and DIR images can be synthesized, at any desired combination of echo time TE, repetition time TR, and inversion delay times TI and TI2. The contrast-weighted image settings can be defined on the Add post process screen or from the MAGiC Session Application.
Figure 2. Example of synthetic images of an axial slice of the head, generated by MAGiC post-processing