• Object ID: 00000018WIA3019BB80GYZ
  • Topic ID: id_2035696 Version: 1.6
  • Date: Mar 24, 2022 5:18:21 PM

3DCINE-SPGR and FIESTA

About this task

Use these steps to acquire cardiac gated segmented scans to obtain volumetric cine images in a single breath hold. 3DCINE acquisitions can be planned in any dimension. They allow for velocity encoding in all directions to assess vascular flow. The short-axis, whole-ventricular cine images are used to measure cardiac ventricular volumes at different cardiac phases and calculate ejection fraction for assessment of cardiac functionality.

  • Use 3DCINE-FIESTA Fiesta for non contrast scans.
  • Use 3DCINE- SGPR for contrast exams.

Step-by-step instructions

  1. Start a scan session
  2. From the Workflow Manager, click Add TaskAdd Sequence.
    From the Protocol screen, select the Chest tab and a cardiac 3DCINE-FIESTA or a 3DCINE-SPGR protocol from your site or GE library.
    • At a minimum, include a localizer, 2D CINE FIESTA and 3DCINE series.
    • If you cannot locate a 3DCINE protocol in either library, then from the Protocol screen:
    1. From the GE protocol library, click the Template tab.
    2. Click the Applications folder.
    3. From the Applications list, click 3DCINE-FIESTA or a 3DCINE-SPGR and add it to the Multi-Protocol Basket.
    4. Click Accept.
  3. Acquire a 3-Plane localizer.
  4. Follow these steps to acquire a 2D FIESTA CINE images.
    1. From the Workflow Manager, select a 2D FIESTA CINE AST series and click Setup.

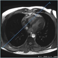
    2. On the axial or axial-oblique localizer, prescribe a vertical long-axis scan plane of the right chambers.
      Figure 1. Example of slice position
    3. Place a shim volume that covers the heart. For details, see Shim volume.
    4. Click Save Rx Scan and provide breathold instructions.
  5. From the Workflow Manager, select the 3DCINE series and click Setup.
  6. From the scan parameters screen, make adjustments as needed. It is recommended you use the GE protocol.
    • Imaging Options that are automatically On and cannot be de-selected:
      • ARC
      • Cardiac Gating/Triggering
      • Extended Dynamic Range
      • ZIP x 512 for 3DCINE-FIESTA and 3DCINE-SPGR
    • Always select TE Minimum, which reduces the TR so that temporal resolution is improved and overall IQ benefits from the shortest possible TR.
    • For optimum image quality, set the 3DCINE-FIESTA flip angle to:
      • 60 degrees at 1.5T
    • For optimum image quality, set the 3DCINE-SPGR flip angle to 20 degrees.
    • Or optimum image quality, select a bandwidth, .
      • 3DCINE-FIESTA = 125kHz, which produces the shortest possible TR.
      • 3DCINE-SPGR = 62.5kHz, which decrease temporal resolution with a tradeoff of increased TR increases.
      • Increasing bandwidth, decreases SNR.
    • Maintain a pixel size of less than 2x2 mm in-plane resolution.
    • Adjust FOV size to the patient, and make sure that it is rotated so that the phase encoding direction is aligned with the short dimension of the anatomy to minimize phase FOV.
      Figure 2. Example of correct FOV rotation
      Figure 3. Example of wrong FOV rotation
  7. Click the Cardiac tab and make adjustments as needed.
    Note: Both ECG and peripheral gating support 3DCINE scans.
    • Arrhythmia Rejection Window: typically select 20.
    • # of Phases to Acquire: typically select 16.
    • # of Phases to Reconstruct: typically select 20.
    • Prospective: not selected (off).
  8. Click the Acceleration tab and enter a HyperKat value.
    • HyperKat is an auto-calibrating recon using both spatial and temporal correlation with a k-t ARC kernel adaptive to local cardiac motion.
    • HyperKat value is displayed on the Series Text screen.
    • 9 produces optimal image quality for single-slab 3DCINE-SPGR and 3DCINE-FIESTA.
    • 8 produces optimal image quality for multi-slab 3DCINE-FIESTA.
  9. Click the Advanced tab and make adjustments as needed.
  10. Graphically deposit and position the 3D slab. Multi-slab is compatible with both 3D-CINE-SPGR and 3D-CINE-FIESTA.
    • Typically, 3D-CINE-SPGR is used with contrast and therefore a single slab is recommended. Typically select Slices per Slab = 18.
    • For 1.5T multi-slab acquisitions, consider using 3D-CINE-FIESTA. Typically select 2 slab and Slices per Slab = 12.
  11. If desired, see Add post-process task. Compatible post-process tasks include:
    • Maximum Intensity Projection
  12. When the prescription is finished, click Save Rx and Scan.
    • When the scan is complete, the Patient List displays a series with preview images prior to the reconstruction of the full cine series. The full cine series is incremental to the preview series. The preview images allow you to check the overall quality immediately after a scan and determine if the scan needs to be acquired again due to image quality issues (anatomy overlap, VENC too low, etc).
    • Reconstruction and display of the full cine images in the Patient List may take several minutes; variation depends on the data set size.
    • It is very important that the full cine series number/numbers is the dataset used for function analysis.
    • For 3DCINE series numbering details, see Series numbering.

Results

Post-processing

Cardiac VX can be used to post-process the 3DCINE images. It does not automatically open the Function module when the 3DCINE data set is opened with Cardiac VX. You must select Function from the Mode menu, located in the top left corner of Cardiac VX application screen.

Image annotation

For details, see Application annotation.

Figure 4. 3DCINE PSD annotation field

The annotation field for the PSD name is:

  • 3DCINE-SPGR/XX where XX is the flip angle
  • 3DCINE-Fiesta/XX where XX is the flip angle

DICOM header information about heart cycle

For 3DCINE-SPGR 3DCINE-FIESTA, 4DFLOW and 2D FastCINE including 2D PC FastCINE scans, the DICOM header contains information about the cardiac cycle variations during scan. This allows a better understanding of the heart rate variation of the patient during the scan and can be used to better interpret the results.
  • The heart rate and nominal interval DICOM tags (0018,1088 and 0018,1062) show the mean heart rate/nominal interval during the scan.
  • Additionally, the minimum RR interval, the maximum RR interval, the number of rejected segments due to detected arrhythmia, and the total number of acquired segments during the scan, also are included in the DICOM header (Tags: 0018,1081- 0018,1082- 0018, 1084- 0018,1083, respectively).