• Object ID: 00000018WIA302C0970GYZ
  • Topic ID: id_40024972 Version: 1.5
  • Date: Mar 24, 2022 5:09:37 PM

3DASL

Before you begin

3DASL is a non-invasive, one-click application that allows whole brain CBF measurements. It uses a 3D Spiral FSE pulse sequence with Extended Dynamic Range Imaging Option to acquire a set of images (PW and PD) which post-process into CBF image maps.

About this task

Use these steps to acquire contrast-free CBF 3D brain scans for a wide application of pathology such as stroke, tumor, neuro degeneration, etc.

Step-by-step instructions

  1. Position the patient so that the head is straight and does not tilt left or right.
    3DASL has a labeling pulse that is acquired at the level of the carotids. If the head is tilted left or right the labeling pulse is not acquired at the same left/right anatomical location and thus the CBF calculations are undesirable. The result is uneven contrast or shading between hemispheres.
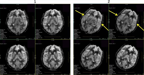
    Figure 1. 3DASL images with head straight and head tilted
    Table 1. Image legend
    NumberDescription
    1Head is positioned straight, nose up. Note the even contrast between right and left hemispheres.
    2Head is tilted towards the left. Note the uneven contrast between the right and left hemispheres.
  2. Start a scan session.
  3. Acquire a 3-Plane localizer.
  4. From the Workflow Manager, click Add Task > Add Sequence.
  5. From the Protocol screen, select a 3DASL protocol from your site or GE library.
    • At a minimum, include a localizer and 3DASL series.
    • If you cannot locate a 3DASL protocol in either library, then from the Protocol screen:
      1. From the GE protocol library, click the Template tab.
      2. Click the Applications folder.
      3. From the Applications list, click 3DASL and add it to the Multi-Protocol Basket.
      4. Click Accept
  6. From the Workflow Manager, select the 3DASL series and click Setup. Make scan parameter adjustments, as needed.
    • 3DASL is a single slab scan that can only be acquired in the axial plane.
    • Several scan parameters cannot be selected, for example: TE, TR, ETL and flip. The system sets these values for optimum blood flow maps.
    • Minimum slice thickness is 2 mm.
    • 3DASL uses a short TR reference image, which minimizes scan time.
    • From the Chem SAT menu select Fat. Fat saturation improves the reference scan's image quality.
    • Two phases are automatically acquired.
      • Phase 1 is the label and control acquisition. These two data sets are automatically subtracted and sent to reconstruction. The subtracted images is the PW image.
      • Phase two is the reference Proton Density acquisition. Regardless of the NEX selected, it is set to 1 for the second data set.
    • From the Detail tab, select values for Number of points and Arms. For details, see Spiral and 3DASL.
    • From the Detail tab, select a Post Label Delay.
      • Typically, use the middle, default value.
        • To see a significant difference between label and control image, the transit time of blood should be small compared to the T1 relaxation time of blood.
      • Increased age or disease states may slow the blood flow rate, therefore use a longer PL delay. Acquiring image data before the spin arrival time, captures vascular signal rather than perfusion.
      • Typically, pediatric flow rates are faster than adult flow rates and thus use a shorter delay time. Acquiring image data later than the spin arrival time results in lower SNR since there are fewer spins from which to capture the signal.
        • The Post Label Delay is the TI time annotated on the image.
  7. Click the Advanced tab and select User CV values, if needed.
  8. If desired, see Add post-process task. Compatible post process tasks include:
    • 3D ASL CBF and Parameters (Lower Threshold, Labeling Efficiency, Partition Coefficient, Kernel Spatial Smoothing). For details, see READY View: ASL optional procedures
    • Image Enhancement Filters
  9. For optimal image quality, prescribe an axial, single 3D slab that completely covers the brain. For optimal image quality and to minimize slab wrap artifact, the slice coverage should be from the bottom of the cerebellum to the top of the head.
    Figure 2. Example of 3DASL slab locations
  10. When the prescription is finished, click Save Rx and Scan.

Results

Arterial blood flows to the brain. A spatially selective inversion continuous pulse is applied that, in effect, labels protons as they move into tissue. The inverted blood results in a decreased signal on a PD image.

3DASL uses a continuous labeling technique that results in the following:

  • Higher SNR in comparison to pulsed RF labeling.
  • Less T1 decay occurs since the protons are inverted closer to the imaging volume.
  • Mag transfer effects are reduced, which increases labeling efficiency.
  • Less motion sensitive than pulsed RF labeling.
Figure 3. Spatially selective IR pulse inverts arterial spins
Table 2. Image legend
NumberDescription
1Arterial blood flowing into brain
2Spatially selective inversion pulse
3Inverted spins
4Brain tissue
5Venous outflow

Two sets of images are acquired: one with the spatially selective inversion pulse (inverted blood) and one without the spatially selective inversion pulse (non-inverted blood). These two data sets are subtracted, which removes signal from the static background and the result is images that are proportional to cerebral blood flow. Multiple data sets are acquired to make a CBF image.

Figure 4. CBF image
Table 3. Image legend
NumberDescription
1Inverted blood, control image
2Non-inverted blood, label image
3CBF image
Image display
  • The ASL images are labeled as ASL type in the patient list.
    Figure 5. ASL type in Patient list
  • Post-processed images are labeled as PROC and the description includes CBF.
    Figure 6. Post-processed ASL images with description of CBF
  • If you prescribe a post process task, from the Workflow Manager, select the 3DASL CBF post process task and click Run.
  • If you select Automatic from the Post Process screen, then the CBF and Reformat images are automatically generated.
  • If you did not prescribe a post process task, you can view the CBF maps in READY View: ASL optional procedures.
  • For details about 3DASL series numbering, see Series numbering.
Important: Care should be taken when using quantitative measures of cerebral blood flow from 3DASL in clinical populations. Differences in CBF values may be seen when the same subject is scanned on different systems and coils. Diagnostic and treatment decisions should not be based solely on these absolute values.

Image annotation

For details, see Application annotation.

Figure 7. 3DASL scan image annotation
Figure 8. Upper left corner of PW image

LT is the labeling time annotated in the upper left-side of a PW image.