- 00000018WIA30309870GYZ
- id_400230881.4
- Aug 17, 2022 5:51:42 PM
Silenz
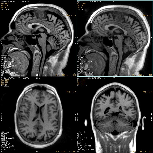
Scanner noise is one of the top three patient complaints for an MRI scan, along with claustrophobia and loss of control. Silenz is a neurological data acquisition and reconstruction technique designed to significantly reduce the acoustic noise generated during an MR examination. Silenz generates:
- 3D MRI data sets with T1-weighted
- T2-weighted
- PD-weighted image contrast
- Diffusion-weighted
- FLAIR
- MR angiography contrast with Silenz MRA.

The 3D data sets acquire isotropic voxels that can be reformatted into any desired scan plane.

