- 00000018WIA30C9E870GYZ
- id_400221861.3
- Jan 11, 2022 8:48:57 AM
Distortion Correction
Distortion Correction is commercially known as PROGRES.
Select Distortion Correction with DWI or DTI acquisitions to estimate and correct for B0-inhomogeneity induced distortion. It is optimized for neuro scans.

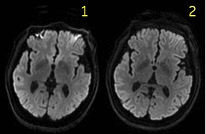
An additional series (labeled ORIG) that contains the original, uncorrected diffusion images is generated and numbered: (10+n×100).
Distortion Correction uses a reverse-phase-encoding gradient polarity acquisition. Concurrently, motion (rigid body) and diffusion gradient eddy current-induced (shear) registrations are also performed to improve the correction. The performance of the method is dependent on the acquisition parameters, specifically requiring the images to have good baseline SNR and minimal baseline distortion. In areas of extreme B0 inhomogeneities, the correction can fail, resulting in blurring or residual artifacts.
The advanced distortion correction can sometimes lead to signal pileup/intensity distortion in central brain regions. Comparison with the original uncorrected images is recommended when such hyperintensity is observed.
| CAUTION | |
|---|---|

| Number | Description |
|---|---|
| 1 | Original uncorrected images. |
| 2 | Images that have Distortion Correction applied. |
