• Object ID: 00000018WIA30B55970GYZ
  • Topic ID: id_40021655 Version: 1.5
  • Date: May 23, 2022 3:28:55 AM

Spectroscopy workflow

Before you begin

Consider this information before you begin the READY View spectroscopy workflow.

These buttons appear for most of the spectroscopy screen areas. When selected the spectrum viewport automatically updates.

Figure 1. Spectroscopy tab > Voxel Correction tab


  • Only Selected Voxels or All voxels can be selected.
    • Selected Voxels, only corrects the active voxels, colored in green (individual voxels or ROI).
    • All voxels, corrects for all voxels in the CSI VOI.
  • Select Reset to reset the values of the specific function: Phase Correction, Frequency Shifting or Baseline Correction.
  • Select Reset All to reset all the value(s) on the tab to the default factory values.
  • Select Apply to re-calculate the metabolites based on the changes you made for the Baseline Correction.
  • Select Save All to save changed selections as the new default values.

About this task

Use these steps to view spectroscopy scans.

Step-by-step instructions

  1. Open READY View and launch spectroscopy.
    • When spectroscopy launches, the system automatically displays the localizer image, one spectrum viewport with applied corrections (corrected sequence) and three localizer images (axial, sagittal and coronal) with voxel numberings. If the localizer series is not in the exam, the spectrum is displayed in background.
    • Voxel Numbering: PRESS box voxels are numbered with the following strategy. All voxels acquired during the acquisition are numbered, even if they reside outside of the PRESS Box. The first voxel will be the number 1, number 2 will be same line next column until the end of the line. Then the second line and when all lines are completed/numbered, it is done again on the next slice if it is a 3D CSI.
    • Consider that MR spectroscopy acquisition is performed in the PRESS Box area and also around the PRESS Box area, therefore the first line/first raw voxel in the PRESS Box displays a voxel number different from 1.
  2. If the series is a 3D voxel, scroll through the images to locate the borders of the 3D CSI grid.
  3. Adjust W/L and mag factor.
  4. Select voxel(s). By default, the graph view displays one ROI and spectrum.
    Figure 2. Example of All spectra display as the default mode


    1. Click a single voxel in the CSI grid and the corresponding spectrum is displayed in the graph view.
    2. Press the Ctrl key and simultaneously click multiple voxels and the corresponding spectra are displayed in the graph view.
    3. Once several voxels are highlighted in green, place the cursor on the graph and right-click the spectra viewport and click Select displayed curves.
      Figure 3. Example of Right-click menu in spectra viewport


    4. From the Graph Curves Selection menu, click Show individual curves (default selection), which results in multiple curves displayed, one per voxel.
    5. De-select Show individual curves and the graph represents an average of all spectra.
      Figure 4. Example of Single spectra displayed from the average of multiple selected voxels
      Figure 5. Example of Show All spectra displayed from multiple selected voxels
    6. Draw an ROI or copy/paste an existing ROI on the localizer image and the corresponding spectrum is displayed in the graph view. For more details, see 2D ROI procedure and 3D ROI procedure.
      • All ROI types are supported.
  5. To change the spectrum appearance, click the yellow graph annotation and select a different graph view.
    Figure 6. Yellow-annotation spectroscopy menu


  6. To manipulate the localizer viewport, place the cursor over the image, right-click and select an option from the menu. The following are specific for a spectroscopy protocol.
    • Show/Hide PRESS box toggles the white press box on and off.
      Figure 7. Show press box (1), Hide press box (2)


    • Show/Hide sat bands toggles the SAT bands on and off.
      Figure 8. Show SAT band (1), Hide SAT band (2)


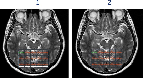
    • Show/Hide Spectroscopy voxels toggles the spectrum within each voxel on and off.
      Figure 9. Show Spectroscopy voxels (1), Hide Spectroscopy voxels (2)


    • Show/Hide Structural View toggles the spectrum and the voxel numbering within each voxel on and off the image.
      Figure 10. Show Structural View (1), Hide Structural view (2)


  7. To modify the localizer image, complete this workflow:
    1. Right-click in the desired viewport and select Set as spectro localizer.
      Figure 11. Set as Spectroscopy Localizer menu


    2. Select one series from the menu. If the localizer volume you select has multiple phases, follow these steps:
      • First select the desired phase/rank on the active image annotation.
        Figure 12. Active phase/rank annotation adjusted on the image


      • Next, right-click in the viewport and select Set as spectro localizer > Volume on this view. The CSI grid appears on the new localizer with the desired phase and rank.
        Figure 13. CSI grid displayed on specified phase/rank of volume


        Note, the compatible localizers displayed are the volume loaded at the opening of the session (functional volume, morphological volume). The volume computed during the session will not be available in this localizer list.

  8. To alter the graph view, complete the following:
    1. Place the cursor over the graph and right-click.
    2. Select an option from the menu.
      • Show/Hide Functional Values toggles the metabolites list values on/off located at the top left corner of the graph view. This option only appears with the spectroscopy protocol.
      • Export Graph data to USB displays a screen that allows you to exports the graph data in the active viewport to a USB device.
      • Auto Scale computes new minimum and maximum values to adapt the graph view and enlarge the graph.
      • Select Displayed curves opens a panel with the list of all the curves displayed in the graph view
  9. To view metabolites, from the Review Steps, click Metabolite.
  10. Optional procedures: