• Object ID: 00000018WIA30182970GYZ
  • Topic ID: id_40024805 Version: 1.2
  • Date: Mar 2, 2022 9:47:47 AM

FGRE TimeCourse scan

FGRE TimeCourse is a 2D, multi-phase, cardiac gated, Fast GRE scan with additional saturation pulses that reduce calibration sensitive ghosting artifact and improves SNR.

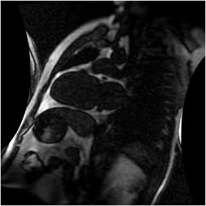
It is used for a myocardium first pass study.

Figure 1. Fast GRE TimeCourse heart image

Use Fast GRE TimeCourse for a myocardium first pass study.

Consider this information when modifying Fast GRE TimeCourse scan parameters. For specific scan parameter values, select a protocol from your GE or Site library.

  • Scan selections: 2D Mode, Gradient Echo family, Fast GRE pulse, Cardiac Gating, SR Prepared, Multi-Phase Imaging Options.

Imaging Options

  • ASSET: If using an ASSET compatible coil, typically select default (2.00PH) ASSET factor to increase slice coverage.
    Figure 2. Auto Prep Time

Cardiac tab

  • Trigger Type: Select either ECG/VCG. PG is also compatible.
  • # of RR Interval: Typically select 1 RR interval for less slice coverage but higher temporal resolution, or 2 RR intervals for more slice coverage but lower temporal resolution.
  • Trigger Window: Typically select Auto. Select 10% of the patient's HR is very stable.

Multi-phase

  • Phases per location: Typically select 30.
    • The scan time can be long based on the selected number of phases. If the scan is too long for a breath hold, have the patient hold his breath as long as possible and then slowly expel his breath until the scan is done.

Graphics Rx

Figure 3. Sample GRx prescription when ASSET Imaging Option is selected
  • Typically prescribe a short axis TimeCourse acquisition.
  • Parallel versus multi-planar prescription is dependent on the User CV Prep Pulse Non-Selective option.
  • Always use the maximum number of slices allowed, which is based on patient HR and number of RR intervals selected.
  • Typically apply a Shim Volume.

User CVs

Click the Advance tab to view the available User CVs. The CVs may vary based on the field strength and selected scan and imaging parameters.

  • Apodization Level
  • Prep Pulse
    • Fast GRE TimeCourse has two saturation pulse options that are controlled by Prep Pulse User CV:
      Figure 4. FGRE TimeCourse diagram
      Table 1. FGRE TimeCourse image legend
      NumberDescription
      1ECG signal
      2Effective TI based on User CV Non-selective saturation pulse
      3Effective TI based on User CV Selective saturation pulse
      4SAT pulse
      5Data acquisition
      6Time
    • Prep Time is automatically calculated if the User CV Prep Pulse is active (set to 0, Selective). The value is based on NEX, RBw, Frequency and Phase matrix values, Phase FOV and TE. Prep Time is the time from center of the Saturation Pulse to the center of k-space.
    • Prep Time value can be manually selected if User CV Prep Pulse is active (set to 1, Non-Selective). The Auto Prep Time is the maximum allowed saturation time for the selected number of slices that results in the best SNR.