• Object ID: 00000018WIA30804970GYZ
  • Topic ID: id_40022821 Version: 1.3
  • Date: Aug 20, 2022 12:18:38 PM

3D FIESTA-C scan

The FIESTA-C sequence is similar to 3D FIESTA in that it is a fully balanced steady-state coherent imaging pulse sequence designed to produce high SNR images at very short TRs. FIESTA-C acquires multiple images with a cycling of the RF phase to reduce banding artifacts and improve image homogeneity.

FIESTA-C can be used in any clinical application that calls for relatively high spatial resolution and contrast between tissues of low T2/T1 ratio (low signal intensity) and high T2/T1 ratio (high signal intensity), for example inter-vertebral discs, hydrocephalus obstructions, biliary tree dilatation, cholangio-pancreatography, and IAC applications. Fluid, in particular, appears very bright and grey/white matter contrast is poor.Use FIESTA-C when the TR is > 4 to 5 ms or when dark bands appear on a 3D FIESTA image.

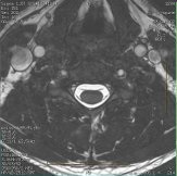
Figure 1. FIESTA-C cervical spine

Consider this information when modifying 3D FIESTA-C scan parameters. For specific scan parameter values, select a protocol from your GE or Site library.

  • Scan selections: 3D Mode, Gradient Echo family, Fiesta-C pulse.

General considerations

  • FIESTA-C is twice as long or more as a 3D FIESTA acquisition due to the phase cycling acquisition method.
  • Excessive patient motion with a 3D FIESTA-C acquisition may result in image smearing or mottling. This is due to the phase cycling technique used with FIESTA-C that is particularly sensitive to patient motion. To minimize the mottled effect, consider using the default frequency direction and therefore do not swap phase and frequency.

Scan parameters

  • TR: It is not a selectable scan parameter for FIESTA-C. The minimum TR is displayed in the Min column placed next to the TR text box.
  • FIESTA-C is designed to reduce banding artifact in acquisitions with TR > 4 to 5 ms. If the TR is < 4 ms, then FIESTA can be used. The following scan parameter changes increase the minimum TE, which increases the minimum TR:
    • decrease FOV
    • decrease Slice Thickness
    • increase Slices per Slab
    • increase matrix values
    • Adjusting these scan parameters to produce higher resolution images can result in a TR > 4 to 5 ms.

User CVs

Click the Advance tab to view the available User CVs. The CVs may vary based on the field strength and selected scan and imaging parameters.

Post-process tasks

There are multiple compatible post-process tasks. For details, see Add post-process task.

  • Maximum Intensity Projection
  • Multi Planar Reconstruction
  • Image Enhancement Filters
  • Pasting