- 00000018WIA30F46970GYZ
- id_400261151.4
- Aug 21, 2022 6:15:44 PM
TOF: 3D FGRE/FSPGR scan
3D FastTOF is a FastGRE or SPGR sequence designed for use in vascular imaging. 3D Fast TOF provides the benefits of a 3D acquisition with the use of faster TRs and TEs to decrease imaging time.
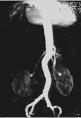
Use Fast 3D TOF-GRE and Fast TOF-SPGR (CEMRA [Contrast Enhanced Magnetic Resonance Angiography]) with SmartPrep or Fluoro Trigger to acquire signal change over time to evaluate vascular disease.

Consider this information when modifying 3D Fast TOF GRE/SPGR scan parameters. For specific scan parameter values, select a protocol from your GE or Site library.
- Scan selections: 3D mode, Vascular family, Fast TOF-GRE or Fast TOF-SPGR pulse.
General
Due to rapid changing of gradients there is an increased audible noise level.
Scan parameters
- Slice order: To optimize flow-related enhancement, prescribe the slices from I to S when imaging arterial flow below the heart, and from S to I when imaging above the heart.
- Slice thickness: Increasing slice thickness increases SNR, decreases resolution, increases coverage, and increases saturation of flowing spins as they move through the volume.
- SAT: When using SAT pulses, some restrictions apply: SAT pulses cannot be applied on more than one axis, and two SAT bands cannot lie on the same axis at two different thickness.
- TR: The minimum TR is set by the system based on other parameters such as TE, bandwidth, FOV, and matrix.
- Due to shorter TRs, Fast 3D TOF results in less SNR when compared to non-fast 3D TOF.
- Due to reduced minimum TR values, the flip angle value may be decreased to minimize saturation of small vessels.
- HyperSense is compatible with CEMRA. Consider adding HyperSense to decrease scan time.
Imaging Options
- Magnetization transfer: Use it to improve contrast between blood flow and surrounding tissue
- SmartPrep: Use it with Fast 3D TOF-GRE and Fast TOF-SPGR to acquire signal change over time to evaluate vascular disease.
User CVs
Click the Advance tab to view the available User CVs. The CVs may vary based on the field strength and selected scan and imaging parameters.
- Apodization Level
- Image Acquisition Delay
- K-Space
- Maximum Monitor Period
- Use it with SmartPrep
- PURE compensation
- Real Time SAT
- Use it with Fluoro Trigger
- Restricted Real Time Navigation
- Use it with Fluoro Trigger
- Slice Partial Fourier
- Turbo Mode
