- 00000018WIA30128870GYZ
- id_400230321.2
- Feb 7, 2022 12:21:31 PM
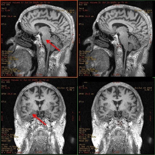
Silenz streak
A streak artifact from signal outside of the FOV can occur on Silenz images. To potentially reduce the streak artifacts, follow these tips:
- Change the scan plane from axial to either sagittal or coronal.
- Increase the NEX value or the FOV coverage along the signal wrap direction.

| Image | Description |
|---|---|
| Left | Axial scans reformatted in sagittal and coronal images. Note the streak artifact. |
| Right | Sagittal scans reformatted into sagittal and coronal images. Note the reduced streaking artifact. |
