• Object ID: 00000018WIA30F18870GYZ
  • Topic ID: id_40026947 Version: 1.2
  • Date: Feb 7, 2022 12:20:00 PM

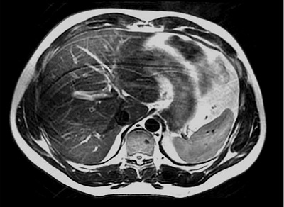
Shading artifact

Shading artifacts, displaying as areas of reduced signal intensity or bands of signal cancellation, often result from improper coil or patient positioning.

Figure 1. Axial abdomen with bands of signal cancellation (shading) due to incorrect patient positioning.

Troubleshooting tips:

  • Reposition the coil and/or the patient so that the coil receives signal that best represents the patient.
  • The anatomy of interest should be placed in the center of the magnetic field, within the center of the coil, and within the group of sections to be acquired.
  • Make sure the patient does not come in direct contact with the coil. If the patient is likely to come in contact with the coil, it is recommended that you place a pad or folded sheet between the patient and the coil.