- 00000018WIA30F08870GYZ
- id_400219451.2
- Feb 7, 2022 12:05:16 PM
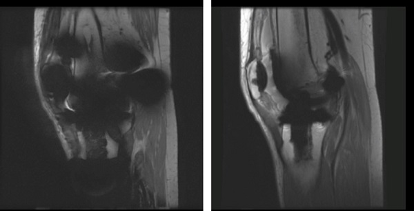
Metal artifact
When MR conditional metal implants are present, various artifacts including ringing, stripe, signal void and image distortion are observed. The one-click application, MAVRIC SL, can reduce the artifacts but cannot completely remove them.

| Image | Description |
|---|---|
| Left | Image acquired with 2D FSE. Note the image void and distortion around the MR conditional metal implant. |
| Right | Image acquired with MAVRIC SL. Note the reduced signal void around the MR conditional metal implant. |
