- 00000018WIA30108870GYZ
- id_400217101.4
- Aug 11, 2022 1:56:05 PM
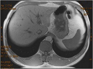
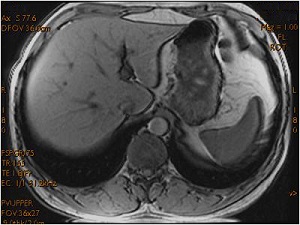
Gradient Echo Chemical Shift artifact
Chemical shift effects are seen when a voxel contains both fat and water and the TE is timed for the vectors to be in or out of phase.

Boundaries between fat and tissues with much water are either bright or dark. For some PSDs, such as FSPGR, the TE can be selected as In Phase or Out of Phase. When In Phase is selected, the fat/water border is bright and when Out of Phase is selected, the fat/water boundary is dark and structures can appear as if they have been outlined with a black marker.


To minimize the black border outline effect, select In Phase as the TE parameter, or manually enter a TE parameter as close to the fat/water in-phase time as possible.
| Phase: In or Out | 1.5T |
|---|---|
| In Phase | 0.0 |
| Out of Phase | 2.2 |
| In Phase | 4.4 |
| Out of Phase | 6.6 |
