- 00000018WIA30EF7870GYZ
- id_400214241.2
- Feb 7, 2022 12:00:07 PM
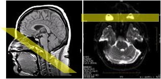
DWI and DTI ring artifact
A ring-like artifact from intense orbit signal can occur on T2-weighted EPI DWI/DTI, ADC/eADC, and Synthetic DWI images.
If the HyperBand Imaging Option is selected with the DWI scan, the ring artifact can occur on superior brain slices if the type-in PSD: epi2altoff is used.
Position an angled anterior SAT band over the orbits (not the cortex) to suppress the orbit signal intensity and thus minimize the artifact.


