• Object ID: 00000018WIA304DD870GYZ
  • Topic ID: id_40022389 Version: 1.2
  • Date: Dec 21, 2021 2:30:25 PM

Pulmonary valve

About this task

Use these steps to acquire images of the pulmonary valve.

Step-by-step instructions

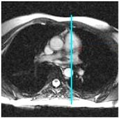
  1. From an axial image, prescribe (blue line indicates graphic location) and acquire a right ventricular outflow tract view.
    Figure 1. Prescribe right ventricular outflow tract view
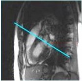
  2. From the right ventricular outflow tract view, prescribe (blue line indicates graphic location) and acquire a pulmonary valve view.
    Figure 2. Prescribe pulmonary valve view
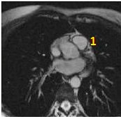
  3. View the pulmonary valve image.
    Figure 3. In this example, 1 = pulmonary valve