• Object ID: 00000018WIA30ECD870GYZ
  • Topic ID: id_40026287 Version: 1.2
  • Date: Dec 21, 2021 2:27:51 PM

Mitral valve

About this task

Use these steps to acquire images of the mitral valve.

Step-by-step instructions

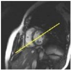
  1. From the short axis view, prescribe (yellow line indicates graphic location) and acquire a 4-chamber view.
    Figure 1. Prescribe 4-chamber view
  2. From the 4-chamber view, prescribe (green line indicates graphic location) and acquire a 2-chamber view.
    Figure 2. Prescribe 2-chamber view
  3. From the left 2-chamber view, prescribe (green line indicates graphic location) and acquire a mitral valve view.
    Figure 3. Prescribe mitral valve view
  4. View the resulting mitral valve image.
    Figure 4. In this example, 3 = mitral valve, 1 = open, 2 = closed.