About this task
Use these steps to acquire left main coronary artery images.Step-by-step instructions
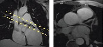
- Prescribe coronal slices and acquire the LCA localizer with an ungated 2D FIESTA sequence or 2D FIESTA with Real Time Imaging Option.
- Prescribe and acquire the LCA series using one of the following sequences:
- 2D Fast Cine fat SAT (bright blood)
- 2D SPIRAL FSPGR (bright blood)
- 3D FIESTA fat SAT (bright blood), T2 Prep
(3D Heart option for 1.5T systems)
- Adjust the Trigger Delay on the Cardiac tab to capture the diastolic phase (typically 350 to 450 msec.).
- Use FSE Double IR (dark blood) for congenital abnormality cases.
Figure 1. Coronal localizer with prescription (left), LCA (right)
