• Object ID: 00000018WIA309CD870GYZ
  • Topic ID: id_40026937 Version: 1.2
  • Date: Dec 21, 2021 2:25:14 PM

Cardiac outflow tracts and chambers

About this task

Use these steps to acquire 2-chamber and ventricular outflow tract views of the heart.

Step-by-step instructions

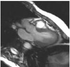
  1. Acquire the right ventricular outflow tract view.
    Figure 1. Ventricular outflow tract
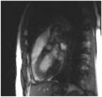
  2. Acquire a right 2-chamber view.
    Figure 2. 2-chamber view
  3. Acquire the left ventricular outflow tract view.
    Figure 3. Left ventricular outflow tract
  4. Acquire the left 2-chamber view.
    Figure 4. Left 2-chamber view