• Object ID: 00000018WIA30ABD870GYZ
  • Topic ID: id_40021840 Version: 1.2
  • Date: Dec 21, 2021 2:17:08 PM

Basic cardiac planes

About this task

Use these steps to acquire 2-chamber, 4-chamber, and short axis views of the heart.

Step-by-step instructions

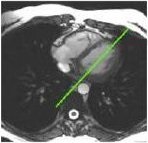
  1. From an axial view, prescribe (green line indicates graphic location) and acquire a 2-chamber view.
    Figure 1. Prescribe 2-chamber view
  2. From the 2-chamber view, prescribe (yellow line indicates graphic location) and acquire a 4-chamber view.
    Figure 2. Prescribe 4-chamber view
  3. From the 4-chamber view, prescribe (red line indicates graphic location) and acquire a short axis view.
    Figure 3. Prescribe short axis view
  4. View resulting short axis image.
    Figure 4. Short axis view