• Object ID: 00000018WIA302CD870GYZ
  • Topic ID: id_40025052 Version: 1.2
  • Date: Dec 21, 2021 2:21:38 PM

Aortic valve plane

About this task

Use these steps to acquire images of the aortic valve.

Step-by-step instructions

  1. From a short axis view, prescribe (yellow line indicates graphic location) and acquire a 4-chamber view.
    Figure 1. Prescribe 4-chamber view
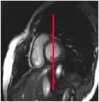
  2. From the 4-chamber view, prescribe (red line indicates graphic location) and acquire a short axis view.
    Figure 2. Prescribe short axis view
  3. From the short axis view, prescribe (red line indicates graphic location) and acquire a basal short axis view.
    Figure 3. Prescribe a basal short axis view
  4. From the basal short axis view, prescribe (orange line indicates graphic location) and acquire a left ventricular outflow tract view.
    Figure 4. Prescribe left ventricular outflow tract
  5. From the left ventricular outflow tract view, prescribe (red line indicates graphic location) and acquire aortic valve view.
    Figure 5. Prescribe aortic valve
  6. View resulting aortic valve image.
    Figure 6. In this example, 3 = aortic valve, 1 = open, 2 = closed.