About this task
Use these steps to acquire images of the aorta.Step-by-step instructions
- Prescribe and acquire a sagittal localizer.
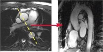
- Prescribe and acquire coronal slices (yellow line indicates graphic location) for an ascending aorta view.
Figure 1. Coronal slice location
- Prescribe and acquire an axial localizer.
- Prescribe and acquire oblique sagittal slices (yellow line indicates graphic location) for an aortic arch view.
Figure 2. Oblique sagittal slice location