• Object ID: 00000018WIA3006F770GYZ
  • Topic ID: id_40026657 Version: 1.3
  • Date: Mar 29, 2022 1:57:25 PM

Color pixels on a 3D ROI

About this task

Use these steps to colors pixels on a deposited 3D ROI.

Step-by-step instructions

  1. Open the MR General Review.
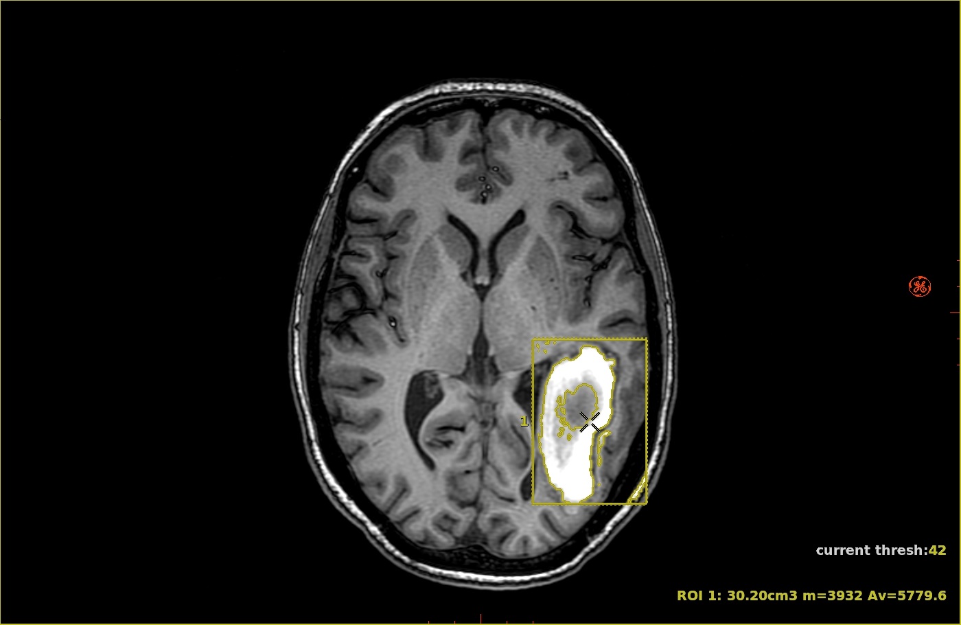
  2. Deposit a 3D ROI.
    • The 3D Color ROI is available in one color for MR images.
    • To modify the ROI, see Modify measurements.
      Figure 1. Image with 3D ROI deposited
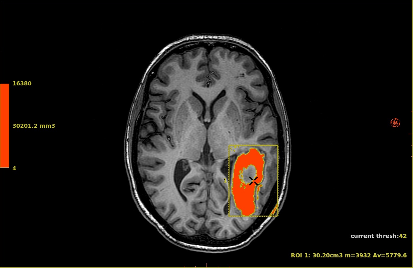
  3. Right-click the ROI and select Color coded display: Activate.
    Figure 2. Colors match the corresponding color ramp


  4. To manage the color map, follow these steps.
    1. Left or right-click the ROI color map to view the menu.
    2. Click Add Segment to add a new color above the one pointed to by the cursor.
    3. Click Remove Segment to remove the color segment point to by the cursor.
    4. Click Color to select the color from the list of colors.
    5. Click Presets to select a predefined color map or Save/Delete a user color map preset.
  5. To view the summary table, from the Export toolbar, click the Summary Table icon ().