- 00000018WIA30EAD870GYZ
- id_400236631.2
- Dec 21, 2021 10:29:57 AM
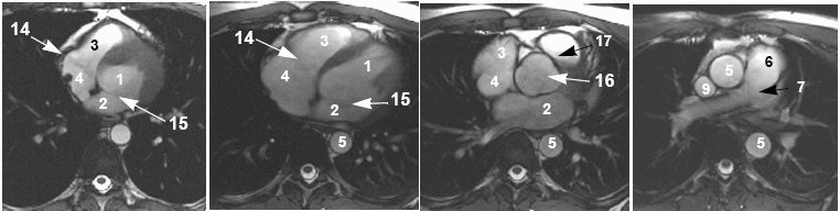
Cardiac anatomy
View an image plane and refer to the legend below for the corresponding cardiac anatomy.



| Cardiac anatomy image legend | |||
|---|---|---|---|
| 1 = left ventricle
2 = left atrium 3 = right ventricle 4 = right atrium | 5 = aorta
6 = pulmonary artery 7 = left pulmonary artery 8 = right pulmonary artery | 9 = superior vena cava
10 = inferior vena cava 12 = right pulmonary vein 13 = pulmonary valve | 14 = tricuspid valve
15 = mitral valve 16 = aortic valve 17 = ventricular outflow tract |
