• Object ID: 00000018WIA305BD870GYZ
  • Topic ID: id_40027110 Version: 1.5
  • Date: May 4, 2022 3:13:03 PM

2D Single Shot MDE

2D Single Shot MDE allows acquisition of the entire heart either in a single breath hold or free breathing with enabling Respiratory Trigger. It is an inversion prepared, non-segmented, FIESTA or SPGR (3.0T only) sequence for myocardial delayed enhancement. The FIESTA-based acquisition enables shorter TRs and higher SNR than the conventional inversion prepared FGRE sequence.

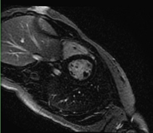
Figure 1. 2D multi-slice single breadth hold Single Shot Delayed Enhancement images

Consider this information when modifying Single Shot MDE scan parameters. For specific scan parameter values, select a protocol from your GE or Site library.

  • 2D Single Shot MDE scan selections: 2D Mode, Gradient Echo family, FIESTA or Fast SPGR pulse, and IR-Prepared and Cardiac Gating must be selected as Imaging Options.

General considerations

  • For more details regarding FIESTA considerations, see 2D FIESTA scan.
  • To select the optimum TI time for myocardium suppression, use CINE IR. The number of RR intervals prescribed in Cine IR scan must match the number of RR intervals prescribed in the 2D Single Shot MDE scan.
  • To determine optimal inversion time for Resp Trig SSh MDE, use CINE IR with 4RR triggering, or Free-Breathing TI Scout.
  • A small shim volume needs to be placed over the single slice group that covers the heart. For details, see 2D FIESTA shim volume.
  • Similar to 2D FIESTA imaging, Single Shot MDE with FIESTA is prone to off resonance and susceptibility artifacts. These can result in inhomogeneous areas and banding type artifacts across the image.
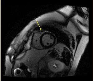
    Figure 2. Image from a 2D multi-slice, single breath hold, Single Shot, FIESTA MDE at 3.0T with visible banding artifacts across myocardium

Scan parameter considerations

  • Bandwidth: To keep TR in the recommended range, use the following bandwidth:
    • ≥83.33 at 1.5T
  • Flip angle: A Flip angle of 45 is recommended; higher flip angles can result in higher signal from blood and fat and a longer TR.
  • # of slices: Use the minimum number of locations required to cover the entire heart.
  • TR: When using the FIESTA acquisition the sequence has optimum image quality at shorter TRs. The TR is calculated automatically. The calculated TR is the minimum TR attainable based on SAR restrictions. The best image quality is achieved with TR ≤ 3-3.5 ms. The TR may be adjusted through changes to the following scan parameters:
    • Bandwidth
    • Frequency matrix
    • FOV
    • Slice thickness
    • Flip angle

Imaging Options considerations

  • ARC or ASSET: To keep the acquisition window short and minimize blurring from cardiac motion it is strongly recommended to use a parallel Imaging Option: ARC or ASSET.
  • Phase Sensitive: 2D Single Shot MDE can be scanned with Phase Sensitive Imaging Option to allow improved robustness towards the inversion time selection. The Phase Sensitive option should always be scanned in a breath hold or respiratory trigger/gating option in order to avoid respiratory motion artifacts. For details, see Phase sensitive.

Respiratory tab considerations

When using the Respiratory Trigger/Gating option, from the Respiratory tab, select the # of the Respiratory Interval. When the effective TR calculated based heart rate and RR interval do not fit into 40% of the duration of one breath cycle, only #Resp Interval = 2 is available. When the effective TR calculated based on heart rate and RR interval could fit into 40% of duration of one breath cycle, #Resp Interval 1 and 2 are available.

Cardiac tab considerations

  • From the Cardiac tab, Trigger Delay menu has the following options: Systolic, Diastolic, Minimum and Recommended. If a particular Trigger Delay (e.g., Diastolic) is not possible, modify the following parameters:
    • Decrease the number of phase encoding steps.
    • Decrease the Trigger window value.
    • Increase the number of RR.
  • A single breath hold scan can be acquired with an RR between 1 and 4.
  • Note: Temporal resolution is displayed on the Scan Parameters screen. For a heart rate of 80 BPM or lower, a temporal resolution of 200-250 ms is recommended. For heart rate of 80 BPM or higher, a temporal resolution of 150-200 ms is recommended. To reduce the temporal resolution number, do one of the following:
    • Increase the acceleration factor.
    • Reduce the NEX.
    • Reduce the number of phase encoding lines.

2D MDE fat suppression considerations

Chemical saturation is available in 2D MDE by selecting SPECIAL from the scan parameters screen, ChemSat menu. MDE fat suppression is sensitive to shim variations. It is always recommended to place a local shim volume on the heart during the graphic prescription process. This may not adequately suppress fat signal in areas outside of the shim volume.

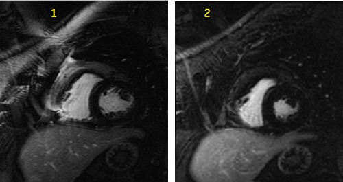
Figure 3. Comparison of heart images with and without SPECIAL
Table 1. Image legend
NumberDescription
1Standard MDE images.
2MDE images with SPECIAL fat suppression that demonstrates peri-cardial enhancement.

User CVs

Click the Advance tab to view the available User CVs. The CVs may vary based on the field strength and selected scan and imaging parameters.