• Object ID: 00000018WIA3094F870GYZ
  • Topic ID: id_40023147 Version: 1.5
  • Date: Aug 17, 2022 2:36:20 PM

SCENIC

SCENIC is not available on 32-channel systems.

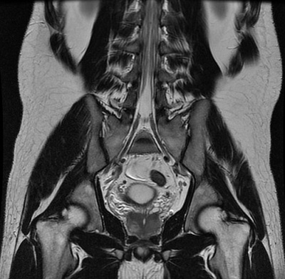
SCENIC (Surface Coil ENhancement for Imaging Clarity) is an Intensity Correction filter designed to reduce coil intensity variations and to improve the quality of images acquired using surface coils. SCENIC automatically corrects the low spatial frequency intensity modulations.

Figure 1. Image Filter = NONE
Figure 2. Intensity Correction = SCENIC