- 00000018WIA30B8C770GYZ
- id_400254051.2
- Mar 17, 2022 2:45:26 PM
PURE compensation
The PURE compensation User CV is used to fine tune the image uniformity. The CV is only available for certain pulse sequences, coils, and anatomies that are 3.0T PURE compatible. If you have selected PURE from the Intensity Correction menu on the Details page and the User CV does not appear on the Advanced tab, then it is not compatible with your series.
- PURE compensation range: -100% to +100%.
- If the center of the image is dark, increase the value.
- If the center of the image is bright, reduce value.
- Recommended tuning range is form -20% to + 20%.

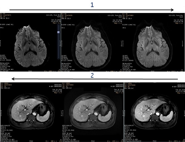
| Number | Description |
|---|---|
| 1 | Head example demonstrating that as the PURE Compensation value gets larger the center of image gets brighter. |
| 2 | Abdomen example demonstrating that as the PURE Compensation value gets smaller, the center of image gets darker. |
Typical exams that may use PURE compensation include:
- t1 memp (type in SE PSD)
- T1 SE
- T1 Flair
- DWI
- Pelvis: LAVA or DISCO
- Abdomen: LAVA or DISCO
